Răng cửa là “trung tâm” của nụ cười, nơi tạo nên ấn tượng đầu tiên khi giao tiếp. Việc mất răng cửa không chỉ ảnh hưởng đến thẩm mỹ khuôn mặt mà còn làm giảm khả năng ăn nhai và sự tự tin của bạn. Ngày nay, trồng Implant răng cửa trở thành phương pháp tiên tiến giúp khôi phục răng đã mất với độ bền, tính thẩm mỹ và cảm giác tự nhiên gần như răng thật. Hãy cùng nha khoa ACE Smile tìm hiểu chi tiết về vấn đề này trong bài viết dưới đây.

Trồng Implant răng cửa là gì
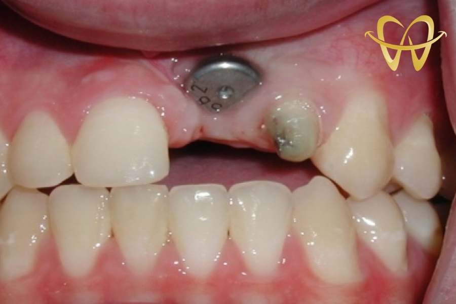
Trồng implant răng cửa là phương pháp cấy ghép một trụ titanium vào xương hàm để thay thế chân răng thật đã mất. Sau khi trụ này tích hợp vững chắc với xương, bác sĩ sẽ gắn mão sứ lên trên, tạo thành một chiếc răng hoàn chỉnh. Cấu tạo này tương tự răng thật, gồm cả chân răng và thân răng, giúp phục hồi chức năng ăn nhai và mang lại thẩm mỹ tự nhiên.
Cấu tạo răng Implant răng cửa
Một răng implant hoàn chỉnh gồm ba phần: trụ implant, khớp nối abutment và mão sứ. Trụ implant được làm từ titanium nguyên chất, tương thích sinh học cao, giúp liên kết chặt với xương hàm mà không gây kích ứng. Khớp nối abutment đóng vai trò trung gian, nối trụ với mão sứ phía trên. Cuối cùng, mão sứ được thiết kế có màu sắc và hình dáng giống răng thật, giúp phục hồi hoàn hảo nụ cười.
Trồng implant răng cửa giúp khắc phục hoàn toàn tình trạng mất răng mà không ảnh hưởng đến các răng kế cận. Đây cũng là phương pháp duy nhất giúp ngăn ngừa tiêu xương hàm. Một vấn đề thường gặp khi mất răng lâu ngày.
Khi nào nên trồng implant răng cửa
Phương pháp trồng implant răng cửa đặc biệt phù hợp trong nhiều trường hợp khác nhau. Người bị mất răng cửa do tai nạn, sâu răng nghiêm trọng hoặc viêm nha chu làm yếu chân răng nên áp dụng. Ngoài ra, những ai đã mất răng cửa lâu ngày và muốn phục hồi thẩm mỹ cũng rất thích hợp. Phương pháp này còn giúp cải thiện khả năng phát âm và khôi phục nụ cười tự nhiên.
Việc xác định thời điểm cấy implant phụ thuộc vào tình trạng xương hàm. Nếu xương còn chắc khỏe, bạn có thể cắm implant ngay sau khi nhổ răng. Ngược lại, nếu xương bị tiêu, bác sĩ sẽ chỉ định ghép xương trước khi tiến hành trồng implant.
Ưu điểm nổi bật của trồng implant răng cửa
Trồng implant mang lại nhiều lợi ích vượt trội: khả năng ăn nhai như răng thật, tuổi thọ lâu dài, thẩm mỹ cao và không ảnh hưởng đến các răng bên cạnh. Đặc biệt, implant giúp bảo tồn cấu trúc xương hàm và duy trì đường nét khuôn mặt tự nhiên. So với cầu răng sứ hay hàm tháo lắp, implant được xem là giải pháp toàn diện hơn. Phương pháp này đáp ứng cả yếu tố thẩm mỹ lẫn sức khỏe răng miệng.
>> Xem thêm: Chuyên Gia Giải Đáp: Thời Gian Trồng Răng Implant Bao Lâu
Quy trình trồng Implant răng cửa chuẩn y khoa
Quy trình trồng implant răng cửa yêu cầu kỹ thuật chính xác. Phương pháp này được thực hiện bởi bác sĩ có chuyên môn cao và công nghệ hỗ trợ hiện đại.
Thăm khám và chẩn đoán
Bác sĩ tiến hành kiểm tra tổng quát, chụp phim X-quang hoặc CT Cone Beam để đánh giá mật độ xương, vị trí cấy ghép và lập kế hoạch điều trị chi tiết. Đây là bước quan trọng giúp xác định loại implant phù hợp cho từng bệnh nhân. Việc thăm khám kỹ lưỡng giúp đảm bảo quy trình trồng implant răng cửa diễn ra chính xác và đạt hiệu quả cao nhất.

Cấy trụ implant vào xương hàm
Sau khi gây tê, bác sĩ đặt trụ titanium vào vị trí răng đã mất. Quá trình này diễn ra nhẹ nhàng, không gây đau đớn. Sau khi trụ được cấy, vùng xương sẽ cần thời gian từ 3 – 6 tháng để tích hợp sinh học với implant. Giai đoạn này là nền tảng quan trọng để trụ implant bám chắc, đảm bảo độ bền vững cho răng cửa sau phục hình.
Gắn khớp nối và mão sứ
Khi trụ implant đã ổn định, bác sĩ tiến hành gắn khớp nối và lấy dấu để chế tác mão răng sứ phù hợp với màu răng thật. Mão sứ được lắp cố định lên trụ implant, hoàn thiện chiếc răng cửa tự nhiên, chắc chắn. Nhờ kỹ thuật tinh xảo, răng sứ sau khi lắp gần như không thể phân biệt với răng thật, mang lại thẩm mỹ hoàn hảo cho nụ cười.
Tái khám và chăm sóc sau điều trị
Sau khi trồng implant răng cửa, bạn nên tái khám định kỳ theo hướng dẫn của bác sĩ. Việc này giúp kiểm tra độ tích hợp của trụ implant với xương hàm. Đồng thời, bác sĩ sẽ làm sạch vùng nướu và đánh giá tình trạng răng miệng tổng thể. Thói quen tái khám đều đặn giúp phát hiện sớm các vấn đề tiềm ẩn. Nhờ đó, bạn có thể bảo vệ implant bền chắc và duy trì tuổi thọ răng lâu dài.
Những lưu ý quan trọng khi trồng Implant răng cửa
Để đảm bảo ca cấy ghép thành công, bạn cần chuẩn bị tốt và tuân thủ hướng dẫn của bác sĩ.
Kiểm tra sức khỏe tổng quát trước khi cấy ghép
Người có bệnh lý nền như tiểu đường, tim mạch hay loãng xương cần được kiểm soát trước khi tiến hành cấy implant. Sức khỏe tổng quát tốt giúp quá trình lành thương diễn ra nhanh hơn. Đồng thời, giúp giảm rủi ro nhiễm trùng.
Lựa chọn loại trụ implant phù hợp

Hiện nay có nhiều dòng implant khác nhau như Straumann, Nobel Biocare hay Dentium. Mỗi loại có đặc điểm riêng về khả năng tích hợp và độ bền. Bác sĩ sẽ tư vấn loại trụ phù hợp nhất với cấu trúc xương và ngân sách của bạn.
Chăm sóc sau khi trồng implant răng cửa
Vệ sinh răng miệng là yếu tố quyết định tuổi thọ của implant. Hãy chải răng nhẹ nhàng, kết hợp với chỉ nha khoa và nước súc miệng chuyên dụng. Giữ vùng nướu quanh trụ luôn sạch giúp tránh viêm nhiễm, bảo vệ mô xương và đảm bảo implant bền vững.
Duy trì thói quen tái khám định kỳ
Sau cấy ghép, bạn nên đến nha khoa kiểm tra định kỳ 3 – 6 tháng/lần. Việc theo dõi định kỳ giúp bác sĩ phát hiện sớm các vấn đề như viêm quanh implant hay tiêu xương. Điều này giúp đảm bảo răng luôn ổn định và thẩm mỹ.
Địa chỉ trồng răng Implant răng cửa uy tín

Nếu bạn đang tìm nơi trồng implant răng cửa uy tín, nha khoa ACE Smile là lựa chọn đáng tin cậy. Đội ngũ bác sĩ tại đây có nhiều năm kinh nghiệm trong lĩnh vực implant nha khoa. Hệ thống trang thiết bị hiện đại giúp quá trình điều trị diễn ra an toàn và chính xác. Quy trình vô trùng chuẩn quốc tế đảm bảo hạn chế rủi ro tối đa. ACE Smile cam kết mang đến cho bạn nụ cười tự nhiên, bền đẹp và an toàn tuyệt đối.
>> Xem thêm: Trồng Răng Implant Có Vĩnh Viễn Không – Giải Đáp Chuẩn Y Khoa
Kết luận
Trồng implant răng cửa không chỉ phục hồi chức năng ăn nhai mà còn trả lại sự tự tin trong nụ cười. Khi được thực hiện đúng kỹ thuật và chăm sóc đúng cách, implant có thể gắn bó trọn đời. Đừng ngần ngại đến Nnhoa ACE Smile để trải nghiệm dịch vụ cấy ghép hiện đại và lấy lại nụ cười tự nhiên, rạng rỡ.
NHA KHOA ACE SMILE – KIẾN TẠO HẠNH PHÚC QUA NỤ CƯỜI
-
Địa chỉ: BT8-50 Khu đô thị Văn Quán, Hà Đông, Hà Nội
-
Hotline: 0969 815 902
