ĐÀO TẠO CHUYÊN SÂU
Thạc sĩ, bác sĩ Lầu A Minh tốt nghiệp chính quy từ Trường Đại học Y Hà Nội, với các chứng chỉ chuyên sâu về thẩm mỹ và cấy ghép Implant.
CHUYÊN GIA CA KHÓ
Tiên phong ứng dụng các kỹ thuật phức tạp: Nâng xoang, Ghép xương, Ghép mô mềm…
300+ Ca cấy ghép Implant thành công MỖI NĂM
GIẤY PHÉP HÀNH NGHỀ
Số 033170/HNO-CCHN
MỘT SỐ CHỨNG CHỈ CỦA THẠC SĨ BÁC SĨ LẦU A MINH
QUAN ĐIỂM ĐIỀU TRỊ CỦA TÔI
Đối với tôi, cấy ghép Implant không đơn thuần là một kỹ thuật phục hình răng đã mất. Đó là một quá trình kiến tạo lại nền móng sức khỏe và sự tự tin cho mỗi khách hàng. Tôi tin rằng, một ca phẫu thuật thành công phải được xây dựng trên ba trụ cột: Chẩn đoán chính xác – Kế hoạch tỉ mỉ – Thao tác chuẩn mực.
Tại Ace Smile, chúng tôi không lựa chọn đường tắt. Mỗi khách hàng đều được tôi trực tiếp phân tích trên phim CT Cone Beam 3D, lập một kế hoạch điều trị chi tiết và cá nhân hóa hoàn toàn. Bởi tôi hiểu, sự an toàn của bạn là ưu tiên không thể đánh đổi, và một kết quả bền vững theo thời gian chính là thước đo cao nhất cho tay nghề của người bác sĩ. Sứ mệnh của tôi là trao trả lại cho bạn không chỉ một chiếc răng, mà là khả năng ăn nhai trọn vẹn và một nụ cười hạnh phúc.
MỘT SỐ CA TIÊU BIỂU CỦA THẠC SĨ BÁC SĨ LẦU A MINH
★ CẤY GHÉP IMPLANT MỘT RĂNG ★
Khách hàng N.T.M 38 tuổi
Cấy ghép Implant răng cửa bên
Khách hàng T.L.L 40 tuổi
Cấy ghép Implant răng hàm nhỏ
Khách hàng V.T.T.X 28 tuổi
Cấy ghép Implant răng cửa giữa
Khách hàng L.A.S 39 tuổi
Cấy ghép Implant răng hàm nhỏ
Khách hàng N.V.C 45 tuổi
Cấy ghép Implant tức thì răng hàm
Khách hàng T.L.S 26 tuổi
Cấy ghép Implant răng hàm nhỏ
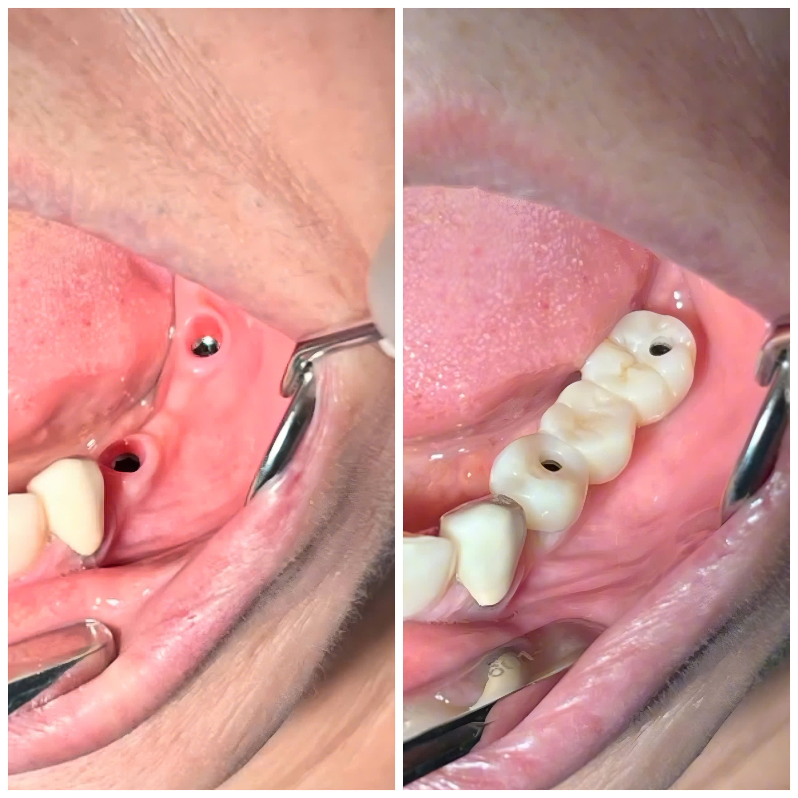
★ CẤY GHÉP CẦU IMPLANT CHO MẤT NHIỀU RĂNG ★
Khách hàng S.D.T 56 tuổi
Cấy ghép Implant cầu răng cửa
Khách hàng L.V.T 60 tuổi
Cấy ghép Implant cầu răng cửa
Khách hàng T.L.Q 33 tuổi
Cấy ghép Implant vùng răng hàm
Khách hàng V.L.H 49 tuổi
Cấy implant cầu răng hàm
★ CẤY GHÉP IMPLANT TOÀN HÀM ★
Khách hàng T.V.K 66 tuổi
Cấy ghép Implant toàn hàm
Khách hàng N.V.N 71 tuổi
Cấy ghép Implant toàn hàm
