5 YẾU TỐ THEN CHỐT CHO CẤY GHÉP IMPLANT AN TOÀN
Chuyên Môn Của Đội Ngũ Bác Sĩ Phẫu Thuật
Tại Ace Smile, quá trình phẫu thuật được đảm nhiệm bởi đội ngũ ThS.BS ĐH Y Hà Nội giàu kinh nghiệm.
Hệ Thống Chẩn Đoán CT Conebeam 3D
X-Quang 3D giúp lập kế hoạch giả định cá nhân hóa, tối ưu hóa độ chính xác và kiểm soát rủi ro phẫu thuật.
Quy Trình Vô Trùng Chuẩn Y Khoa
Tuân thủ quy trình vô trùng nghiêm ngặt, với phòng phẫu thuật chuyên biệt, đảm bảo môi trường điều trị an toàn.
Chất Lượng Và Nguồn Gốc Trụ Implant
Cam kết vật liệu chính hãng, có thẻ bảo hành toàn cầu.
Chế Độ Chăm Sóc Và Bảo Hành Hậu Phẫu
Chăm sóc và chính sách bảo hành, tái khám rõ ràng. Cam kết bằng văn bản.
QUY TRÌNH CẤY GHÉP IMPLANT TẠI NHA KHOA ACE SMILE
Cùng tìm hiểu quy trình cấy ghép Implant an toàn tại Nha Khoa Ace Smile qua trải nghiệm thực tế của anh Cường.
Bước 1 – Thăm Khám & Chụp XQ 3D
Bước 2 – Lên kế hoạch điều trị cá nhân hoá
Bước 3 – Phẫu Thuật Chính xác, An toàn
Bước 4 – Tích Hợp Xương & Tái Khám
Bước 5 – Lấy Dấu & Chế Tác Răng Sứ
Bước 6 – Hoàn tất phục hình
CÁC GIẢI PHÁP IMPLANT TẠI NHA KHOA ACE SMILE
Mất 1 răng
Bác sĩ sẽ cấy 1 trụ implant theo nguyên tắc mất răng chỗ nào cấy Implant chỗ đó
Mất nhiều răng cạnh nhau
Bác sĩ sẽ cấy các Implant chính và tạo cầu răng sứ để tối ưu hoá chi phí mà vẫn đảm bảo chức năng ăn nhai
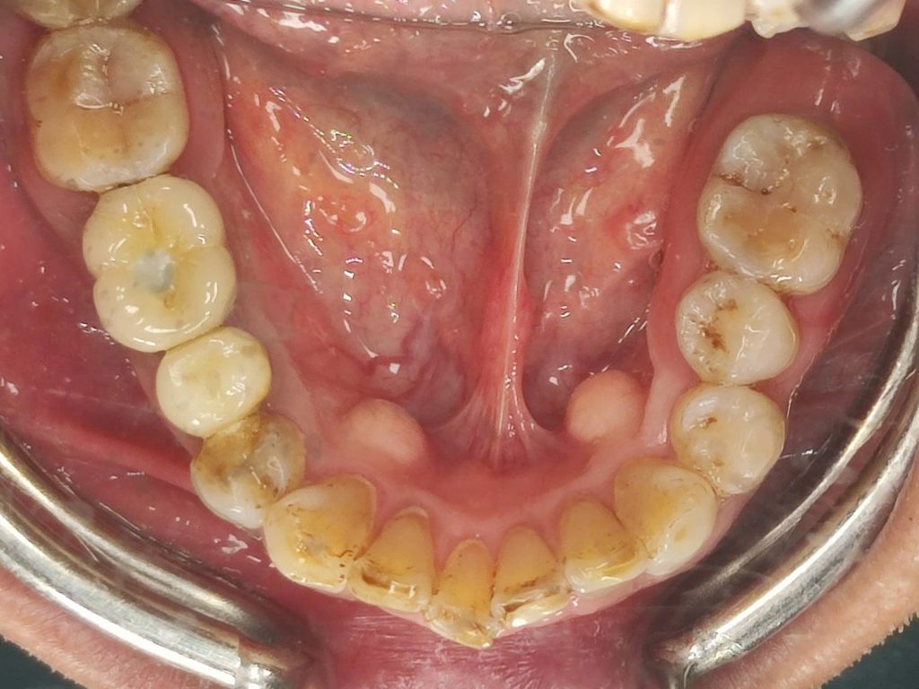
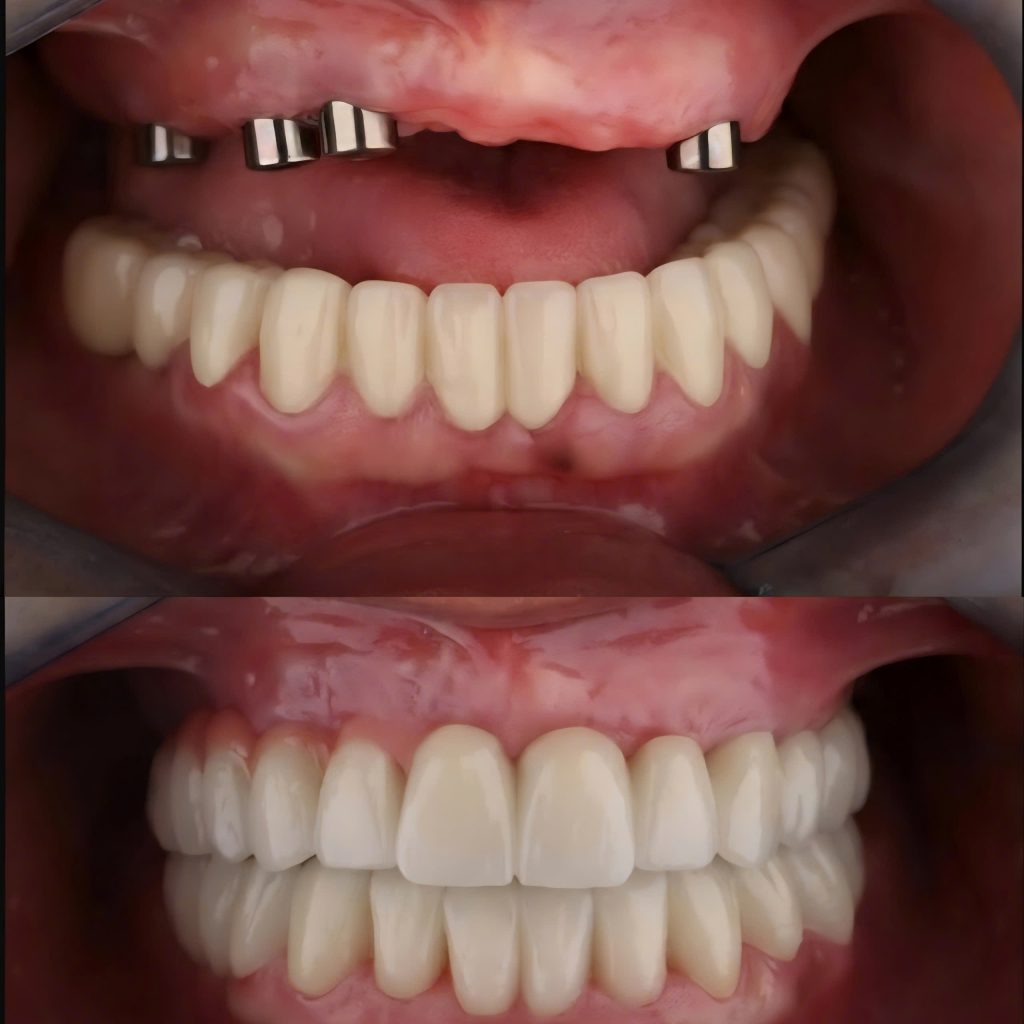
Mất toàn bộ răng
Bác sĩ sẽ cấy 4 – 6 trụ Implant để đảm bảo đủ nâng đỡ toàn bộ cung răng
Tại Sao Lựa Chọn Cấy Ghép Implant Tại Ace Smile?
Nơi Y Đức Và Công Nghệ Hội Tụ Để Kiến Tạo Nụ Cười Bền Vững
🎓 Đội Ngũ Chuyên Gia Y Khoa Hàng Đầu
100% ca cấy ghép được thực hiện trực tiếp bởi các Thạc sĩ tốt nghiệp từ Đại học Y Hà Nội, đảm bảo chuyên môn sâu, kinh nghiệm vững vàng và sự an toàn tuyệt đối cho bạn.
🔬 Công Nghệ Cấy Ghép Chính Xác & An Toàn
Chúng tôi ứng dụng toàn diện công nghệ CT Cone Beam 3D, phần mềm lập kế hoạch và máng hướng dẫn phẫu thuật để mỗi trụ implant được đặt vào vị trí hoàn hảo.
🌿 Triết Lý Xâm Lấn Tối Thiểu, Lành Thương Nhanh
Ưu tiên các kỹ thuật nhẹ nhàng như phẫu thuật bằng máy Piezotome và công nghệ từ tính, giúp giảm sang chấn, mang lại trải nghiệm êm ái và đẩy nhanh quá trình hồi phục.
💎 Cam Kết Vật Liệu Chính Hãng & Đồng Hành Trọn Đời
Chỉ sử dụng các dòng trụ implant cao cấp từ Thụy Sĩ, Mỹ, Hàn Quốc … với chế độ bảo hành và chăm sóc tận tâm, mang lại một kết quả bền vững mà bạn có thể an tâm tin tưởng.
BẢNG GIÁ CẤY GHÉP IMPLANT
(Trụ chính hãng – Bảo hành minh bạch bằng văn bản)
BIOTEM (HÀN QUỐC)
- Xuất xứ: Hàn Quốc 🇰🇷
- Tiết kiệm nhất
- Bảo hành: 5 Năm
DENTIUM (HÀN QUỐC)
- Xuất xứ: Hàn Quốc 🇰🇷
- Phổ biến nhất
- Bảo hành: 10 Năm
DENTIUM (USA)
- Xuất xứ: Mỹ 🇺🇸
- Tiêu chuẩn cao
- Bảo hành: 15 Năm
NEODENT (THỤY SĨ)
- Xuất xứ: Thụy Sĩ 🇨🇭
- Tích hợp nhanh
- Bảo hành: 15 Năm
STRAUMANN (THỤY SĨ)
- Xuất xứ: Thụy Sĩ 🇨🇭
- Tốt nhất thế giới
- Bảo hành: TRỌN ĐỜI
NHẬN ƯU ĐÃI ĐẾN 30%
- 🎁
Tặng VOUCHER LÊN ĐẾN 30% chi phí trụ Implant. - 🦷
TẶNG KÈM CHỤP SỨ trên Implant (Trị giá 2.500.000đ). - 👨⚕️
Miễn phí Chụp phim CT & Lên phác đồ cùng Thạc sĩ Bác sĩ.
CÂU HỎI THƯỜNG GẶP VỀ IMPLANT
❓ Trồng răng Implant có đau không? Có nguy hiểm không?
Quá trình cấy ghép Implant tại Ace Smile được thực hiện với công nghệ gây tê cục bộ hiện đại, nên hoàn toàn không đau trong suốt quá trình phẫu thuật. Sau khi thuốc tê tan, bạn có thể cảm thấy ê nhẹ (như nhổ răng khôn) nhưng sẽ hết nhanh chóng sau 1-2 ngày nhờ thuốc giảm đau bác sĩ kê. Phương pháp này rất an toàn vì chỉ tác động tại vị trí mất răng, không xâm lấn các răng bên cạnh.
❓ Ai là người trực tiếp thực hiện ca cấy ghép Implant cho tôi?
Tại Nha khoa Ace Smile, 100% các ca phẫu thuật Implant đều do trực tiếp Thạc sĩ Bác sĩ Lầu A Minh thực hiện. Bác sĩ Minh là chuyên gia hàng đầu về phẫu thuật hàm mặt, có chứng chỉ cấy ghép Implant chuyên sâu và đã thực hiện thành công hàng nghìn ca lâm sàng (bao gồm cả các ca mất răng toàn hàm, tiêu xương phức tạp), đảm bảo sự an tâm tuyệt đối cho khách hàng.
❓ Thời gian hoàn thiện một ca trồng răng Implant mất bao lâu?
Thời gian đặt trụ Implant vào xương hàm chỉ mất khoảng 15 – 20 phút/trụ. Tuy nhiên, để lắp răng sứ hoàn thiện, cần chờ trụ tích hợp vào xương (thường từ 1 – 3 tháng tùy loại trụ và cơ địa). Với các dòng trụ cao cấp như Straumann (Thụy Sĩ) có công nghệ xử lý bề mặt SLA Active, thời gian tích hợp có thể rút ngắn chỉ còn 3 – 4 tuần.
❓ Răng Implant sử dụng được bao lâu? Có bảo hành không?
Răng Implant có cấu tạo như răng thật và độ bền cực cao, có thể sử dụng trọn đời nếu được chăm sóc đúng cách. Tại Ace Smile, chúng tôi cam kết chất lượng bằng văn bản với chế độ bảo hành chính hãng từ 10 năm đến Vĩnh viễn (tùy dòng trụ), giúp bạn hoàn toàn yên tâm về khả năng ăn nhai lâu dài.
Đối tác của chúng tôi
Đánh giá của khách hàng
EXCELLENT
Dựa trên
hơn 100 đánh giá
